📞 Richiedi Preventivo Gratuito

Prima & Dopo

Risultati reali dei trattamenti dentali eseguiti nelle nostre cliniche partner a Tirana. Ogni caso è unico — richiedi un preventivo personalizzato per il tuo sorriso.

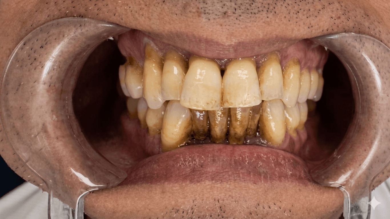
Denti fortemente compromessi prima della riabilitazione completaPrima
Sorriso naturale e uniforme dopo impianti e corone fisseDopo
Riabilitazione Completa2 viaggi, 4-6 mesi

Denti gravemente compromessi da carie, fratture e perdita di elementi sostituiti con una riabilitazione completa su impianti e corone fisse dal risultato naturale.

Trattamento: Impianti dentali + corone fisse

Sorriso con denti usurati e pigmentati prima del trattamento esteticoPrima
Sorriso bianco e armonioso dopo il trattamento esteticoDopo
Correzione Estetica5-7 giorni

Macchie, usura e irregolarita visibili del sorriso corrette con un piano estetico che restituisce proporzioni piu armoniose e un colore piu luminoso.

Trattamento: Faccette o corone estetiche

Denti anteriori danneggiati e mancanti prima della ricostruzionePrima
Sorriso completo e naturale dopo la ricostruzione anterioreDopo
Ricostruzione Anteriore1-2 viaggi

Elementi fratturati, vecchie otturazioni e spazi visibili nell'arcata anteriore risolti con un piano combinato di ricostruzione protesica e miglioramento estetico.

Trattamento: Ricostruzione anteriore + protesi estetica

Sorriso con pigmentazioni e disallineamenti prima dello smile makeoverPrima
Sorriso femminile luminoso e uniforme dopo lo smile makeoverDopo
Smile Makeover5-10 giorni

Pigmentazioni, disallineamenti e disomogeneita cromatiche migliorati con un percorso di estetica dentale pensato per ottenere un sorriso piu fresco, uniforme e naturale.

Trattamento: Faccette, sbiancamento e rifinitura estetica

Vuoi vedere il tuo Prima & Dopo?

Ogni sorriso è unico. Inviaci una panoramica dentale e il nostro team preparerà un piano di trattamento personalizzato con una simulazione del risultato atteso.

* La galleria mostra esempi visivi di condizioni iniziali e risultati finali compatibili con i trattamenti offerti. Ogni caso clinico viene valutato in modo personalizzato e i risultati possono variare in base alla situazione di partenza.